A bright, confident smile can make a lasting impression. If you have chipped, stained, discolored or unevenly spaced teeth, dental veneers may be the perfect solution to achieve the smile you have always wanted. Veneers provide a natural, polished look while preserving the structure of your teeth.
What Are Dental Veneers?
Dental veneers are thin, custom-made shells of porcelain or composite resin that are bonded to the front of your teeth. They enhance the appearance of your smile by covering imperfections such as stains, chips, gaps and minor misalignments. Porcelain veneers are particularly popular because they are durable, stain-resistant and closely mimic the translucency of natural teeth. Composite veneers offer a more cost-effective option while still providing excellent aesthetic results.
What Is the Process For Getting Veneers?
The veneer process typically requires two to three visits to Sugar Land Dental Associates to complete. During the first visit, our dentists will evaluate your teeth and discuss your goals to determine if veneers are right for you. A small amount of enamel may need to be removed to create space for the veneers. Impressions of your teeth will then be taken to ensure a precise fit.
At the second appointment, your custom veneers will be carefully bonded to your teeth using a strong dental adhesive. Our dentists will make final adjustments to ensure they fit comfortably and blend seamlessly with your natural smile. A follow-up visit may be scheduled to check the placement and make any necessary refinements.
How Long Do Veneers Last?
With proper care, porcelain veneers can last 10 to 15 years or more, while composite veneers typically last five to seven years. Maintaining good oral hygiene, avoiding excessive force on your teeth and keeping up with regular dental visits will help extend the lifespan of your veneers.
Are Veneers Right For You?
Veneers can provide a dramatic transformation, but they are not suitable for everyone. If you have significant tooth decay, gum disease or habitually grind your teeth, Dr. Jai V. Patel, DDS and Dr. Rahil H. Patel, DDS may recommend alternative treatments.
We invite you to call us today at 281-207-4161 to schedule your personal consultation and learn if dental veneers in Sugar Land, Texas, are the right options for you. We are committed to helping you achieve a stunning, confident smile.
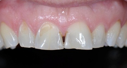
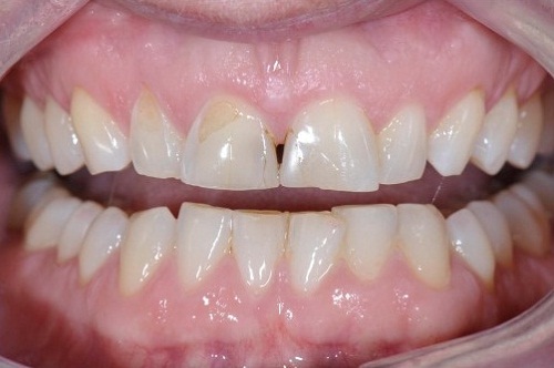
Before

After

Before

After

Before

After

Frequently Asked Questions About Dental Veneers
How do dental veneers improve the appearance of my smile?
Dental veneers are designed to correct various cosmetic imperfections, including discoloration, minor gaps and uneven tooth shapes. By placing thin shells over the front of your teeth, veneers create a uniform, brighter appearance. They are custom-made to blend naturally with your existing teeth, giving you a polished and aesthetically pleasing smile.
Will getting veneers make my teeth more sensitive?
Some patients experience mild sensitivity after the veneer procedure, especially to hot and cold temperatures. This occurs because a small amount of enamel is removed to accommodate the veneers. However, this sensitivity is typically temporary and subsides within a few days to a couple of weeks as your teeth adjust to the new restorations.
Can veneers be whitened if they become stained?
Unlike natural teeth, porcelain veneers do not respond to whitening treatments. However, they are highly resistant to staining from coffee, tea and other pigmented foods. If discoloration occurs at the edges where the veneer meets the natural tooth, professional cleaning and polishing can help maintain their bright appearance over time.
What happens if a veneer gets damaged or falls off?
Although veneers are durable, they can chip or detach due to excessive force or trauma. If this happens, contact our dentists and team immediately. In some cases, a veneer can be reattached, but if the damage is significant, a new one may need to be fabricated. Proper care and avoiding habits like biting on hard objects can help prevent damage.